インプラント治療実績
-
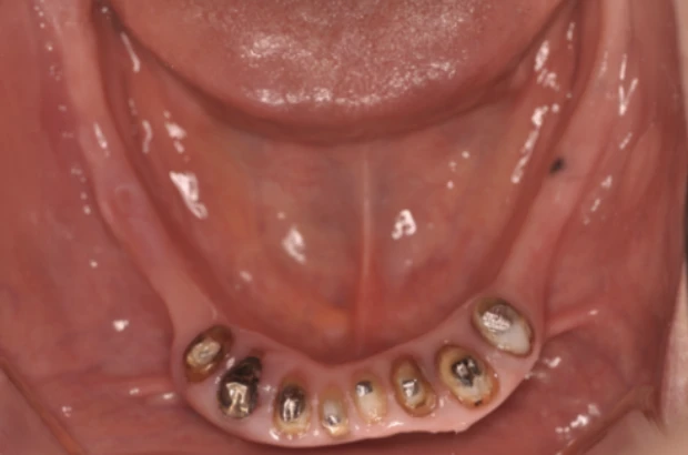
症状を詳しく見る: 症例1
主 訴
歯が割れたところの治療をしたい
治療期間
12ヶ月
治療内容
インプラント1本
費 用
528,000円
-
症状を詳しく見る: 症例2
主 訴
他院で抜歯をして歯がない
治療期間
12ヶ月
治療内容
インプラントBr3本
費 用
1,279,000円
-
症状を詳しく見る: 症例3
主 訴
歯が抜けた部分をインプラントにしたい
治療期間
10ヶ月
治療内容
インプラント+セラミック
費 用
1,314,000円
-
症状を詳しく見る: 症例4
主 訴
被せ物が外れて怖くで硬いものが噛めない
治療期間
18ヶ月
治療内容
インプラント2本、セラミックBr5本、セラミックCK2本、セラミックBr3本
費 用
1,908,300円
-
症状を詳しく見る: 症例5
主 訴
入れ歯を使わなくて良い治療をしたい
治療期間
18ヶ月
治療内容
インプラント3本 、インプラントポンティック2本、セミラックCK3本
費 用
1,971,000円
-
症状を詳しく見る: 症例6
主 訴
数年前から痛みが続き他院で抜くしかないと言われた
治療期間
30ヶ月
治療内容
インプラント2本、セラミックCK22本
費 用
2,465,000円
-
症状を詳しく見る: 症例7
主 訴
何度か入れ歯を作りなおしたが合わない
治療期間
24ヶ月
治療内容
インプラント7本、上顎自費義歯、セラミックCK8本
費 用
3,020,000円
博多区・雑餉隈・大野城市で
インプラント治療は
はち歯科グループ
はち歯科医院 (本院)
〒816-0905 福岡県大野城市川久保1-12-10
桜並木はち歯科医院
桜並木駅 構内1F
クリニック公式サイトを開く
-
医院名
-
はち歯科医院
-
住所
-
〒816-0905
福岡県大野城市川久保1-12-10 -
駐車場
-
11台完備
| 診療 時間 | 月 | 火 | 水 | 木 | 金 | 土 | 日 |
| 9:30- 17:30 | ● | ▲ | ▲ | ● | ■ |
●:月・金
午前 9:30〜12:30(最終受付11:30)/午後 13:30〜18:00(最終受付17:00)
▲:火・水
午前 12:00〜15:00(最終受付14:00)/午後 16:00〜20:30(最終受付19:30)
■:土
午前 9:30〜11:30(最終受付10:30)/午後 12:30〜17:00(最終受付16:00)
休診:木・日・祝
クリニック公式サイトを開く
-
医院名
-
桜並木 はち歯科医院
-
住所
-
〒812-0878
福岡県福岡市博多区竹丘町3丁目4番1号 西鉄桜並木駅内ビル1F -
駐車場
-
15台完備
| 診療 時間 | 月 | 火 | 水 | 木 | 金 | 土 | 日 |
| 9:00- 17:30 | ● | ● | ● | ● |
● 月・火・水・金 9:30〜17:30(最終受付17:00)
▲ 木曜 9:30〜15:00(最終受付14:00)
■ 土曜 9:30〜17:00(最終受付16:00)
★ 日曜(または祝日)9:30〜15:00(最終受付14:00)(※要予約)